68A Clyde Avenue, Baldivis WA 6171

reception@baldivisdentalclinic.com.au

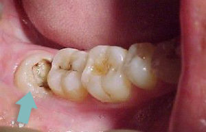
Tooth Removal & Oral Surgery

HomeServices -Tooth Removal & Oral Surgery

Overview

Safe and painless removal of damaged or problematic teeth, including minor surgical procedures.

Why This Treatment?

To relieve pain and prevent infection or complications.

Who Is This Treatment For?

Patients with severely damaged teeth

Individuals with wisdom tooth issues

People experiencing severe pain

Cases where the tooth cannot be saved

Benefits

Who Is This Treatment For?

Step 1

Evaluation & Imaging

Detailed examination with X-rays to assess the tooth condition.

Step 2

Anesthesia Administration

Local anesthesia is given to ensure a pain-free experience.

Step 3

Tooth Removal / Surgical Procedure

The tooth is carefully removed using safe techniques.

Step 4

Bleeding Control & Protection

The area is cleaned and protected to promote healing.

Step 5

Post-Treatment Instructions

Guidance on diet, care, and medications for smooth recovery.

Frequently Asked Questions (FAQs)

No, it is done under anesthesia.

2–5 days in most cases.

When the tooth is damaged or infected.

Avoid hard food and smoking.

Your Healthy Smile Starts Here

Get personalized dental care from our experienced team.